0722.895.242
Acasă
Despre
Servicii
Plata
Cazuri
Recenzii
Program
Locație
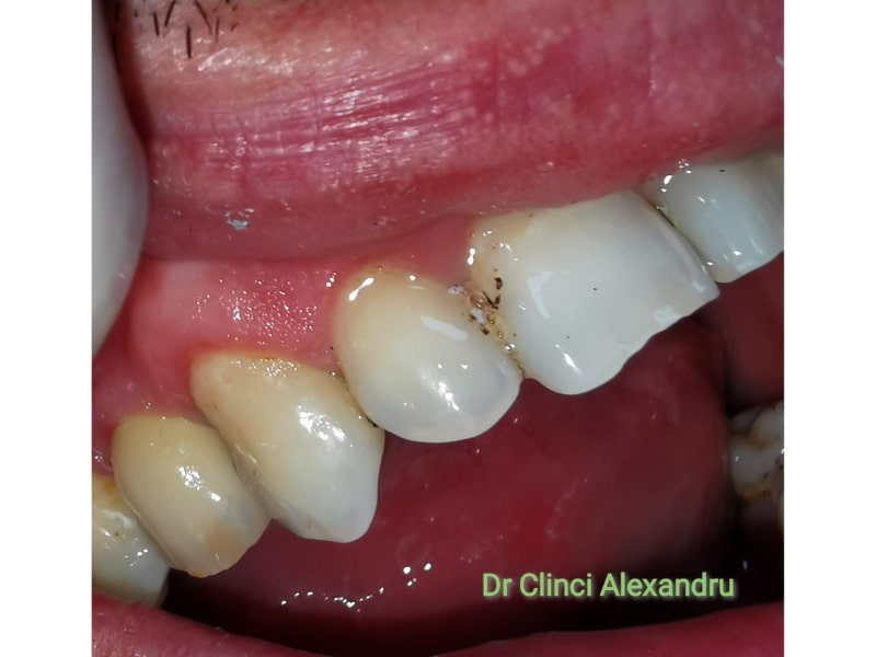
Implantologie
×
❮
1 / 6
2 / 6
3 / 6
4 / 6
5 / 6
6 / 6
❯
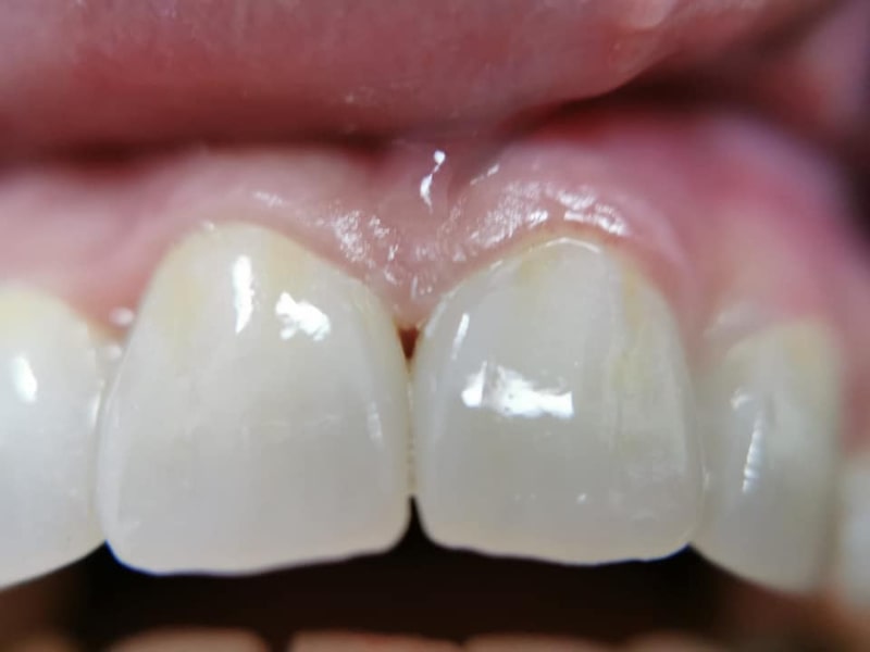
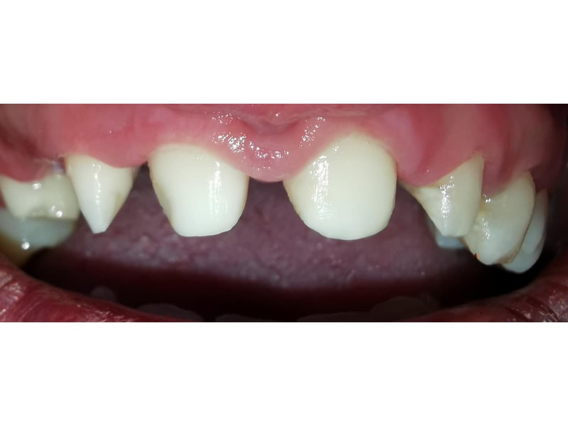
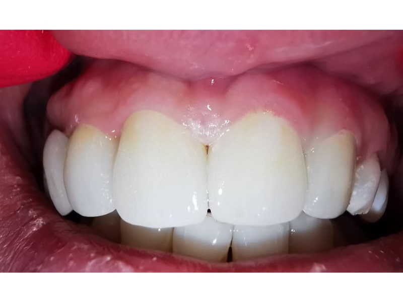
Zirconiu Multilayer
×
❮
1 / 7
2 / 7
3 / 7
4 / 7
5 / 7
6 / 7
7 / 7
❯
Punte Ceramică
×
❮
1 / 4
2 / 4
3 / 4
4 / 4
❯
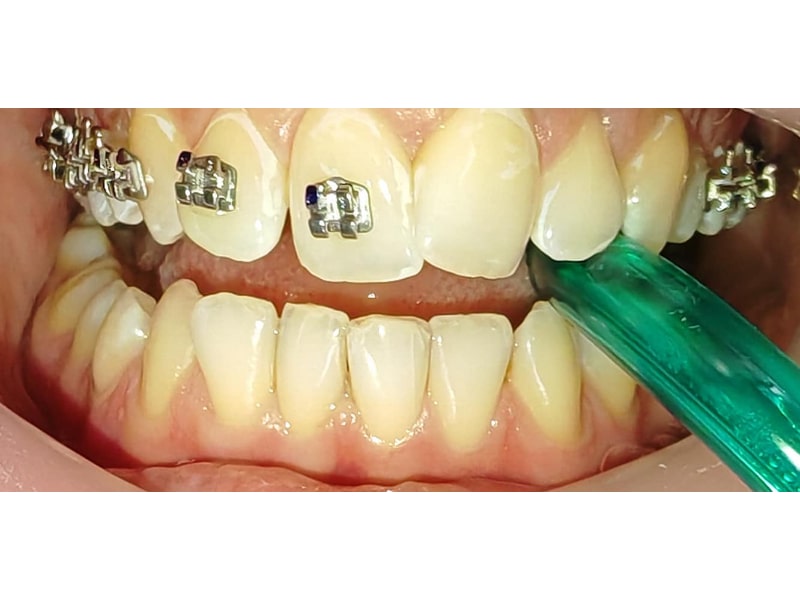
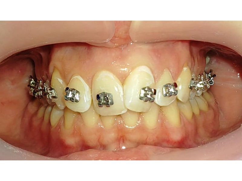
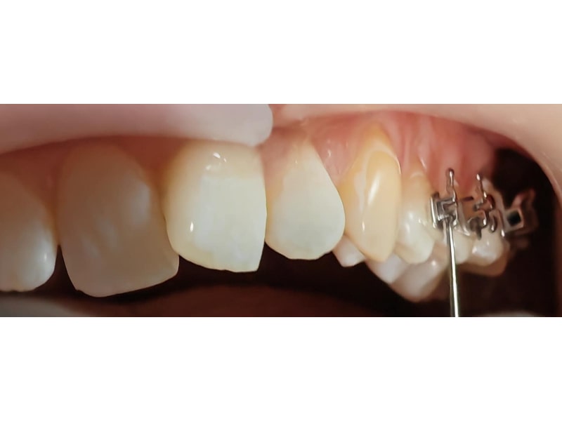
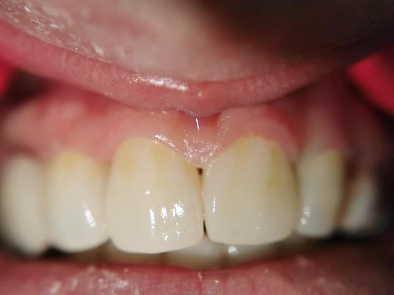
Ortodonție
×
❮
1 / 6
2 / 6
3 / 6
4 / 6
5 / 6
6 / 6
❯